自費診療について
※下線部をクリックすると、それぞれの項目にジャンプします
ホワイトニング
自宅でできるお手軽ホワイトニング
当院では、専用のマウスピース型のトレイと薬剤を使用し、ご自宅で行うホームホワイトニングを取り扱っています。
ホームホワイトニングの特徴は以下の通りです。
<特徴>
- 寝ている間にできるので、手軽で簡単
- 色が後戻りしにくい
- 低濃度のホワイトニングジェルを使用するため、理想の白さになるまで時間がかかる【1日1回2~3時間(通常は就寝時)で1~3週間ほど】
- 歯科医院で行うオフィスホワイトニングと比べ、低価格でできる

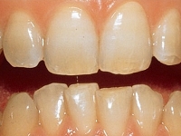
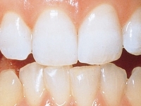
ホームホワイトニング使用例

使用前
茶渋やタバコのヤニなどで、歯が黄ばんでいます。

使用後
ホームホワイトニングを約2週間行いました。
本来の歯の白さがよみがえりました。
※効果には個人差があります
セラミック治療
セラミック治療とは
セラミック治療とは、セラミック(陶器)でできた歯を使用した治療のことです。
通常、保険治療では前歯は銀歯にプラスチックを張り合わせたものを、奥歯は銀歯を使用します。
セラミックは保険適用外ですが、保険の素材と比べて優れた点がたくさんあります。
以下の表で比較していただき、ご興味がありましたらお気軽にご相談ください。
前歯の場合
| 保険適用(銀歯+プラスチック) |
セラミック |
|
| 天然歯との色の差 |
バリエーションが少なく、全く同じにすることは困難 |
バリエーションが豊富で、天然歯に近い白さを実現できる |
| 変色 |
食事等で黄ばむ |
ほとんどない |
| 細菌の繁殖 |
繁殖しやすい | ほとんどない |
| 強度 |
硬い物を噛むと、プラスチック部分がはがれる場合がある | 1300℃で焼き付けているため強度が高い |
| 金額 |
保険が適用される | 保険が適用されない 1本約4万円~10万円程度(部位による) |
奥歯の場合
| 保険適用(銀歯) |
セラミック |
|
| 天然歯との色の差 |
銀色のため目立つ |
バリエーションが豊富で、天然歯に近い白さを実現できる |
| 2次的虫歯 |
なりやすい | なりにくい |
| 金属アレルギー |
なる場合がある | なることはない |
| 強度 |
金属のため、強度は高い | 1300℃で焼き付けているため強度が高い |
| 金額 |
保険が適用される | 保険が適用されない 1本約4万円~10万円程度(部位による) |
前歯のセラミック治療
保険適用の素材で前歯を治療して、しばらく経過すると、歯と歯ぐきの間に内側の金属が露出してくることがあります。(これをブラックラインと呼んでいます。)そうなると見た目も良くありません。
また、表面のプラスチックが変色し、他の歯との色に差ができて目立ってしまいます。
こういった症状でお困りの方は、お気軽にご相談ください。

オールセラミック
オールセラミックとは、金属を全く使用せずに、陶器のみでできた歯のことです。
裏側に金属を使用していないので、歯肉の後退等で歯と歯ぐきの間に金属が露出(ブラックライン)してきたり、金属アレルギーの心配がありません。
また、歯科技工士が1本ずつ丁寧に作り上げるので、天然歯に限りなく近い色に仕上げることができます。
<オールセラミックの特徴>
- 金属を一切使用していない
- ブラックライン、金属アレルギーの心配がない
- 天然歯に限りなく近い色を再現できる

奥歯のセラミック治療
お口を大きくあけると奥歯まで見えることがあります。
その時、銀歯があったり、銀色の詰め物があると、見栄えがよくありません。
また、銀の成分が唾液で溶け、金属アレルギーを引き起こしているという事例もあります。
銀歯や銀色の詰め物が気になる方、金属アレルギーでお困りの方は、お気軽にご相談ください。

詰め物 - セラミックインレー
セラミックインレーとは、金属を一切使わず、セラミックのみでできた詰め物のことです。
金属を一切使用しないため、金属アレルギーの心配がありません。
また、見た目は天然歯と同様に仕上げることができます。
しかし、強く噛みこんだりすると割れやすいという欠点もあります。
<セラミックインレーの特徴>
- 金属を一切使用していない
- 金属アレルギーの心配がない
- 天然歯と同様の見た目
- 割れやすい
詰め物 - ハイブリッドセラミック
ハイブリッドセラミックとは、セラミックとプラスチックを混ぜた材料で作られた素材です。
セラミックインレーよりも柔軟性があり、割れにくいのが特徴です。
セラミックインレーより低料金でできます。
しかし、色調は多少劣り、しばらく経つと変色します。
<ハイブリッドセラミックの特徴>
- セラミックインレーよりも柔軟性がある
- セラミックインレーより低料金
- 割れにくい
- 変色することがある
被せ物 - メタルボンド
メタルボンドとは、金属の表面にセラミックを焼き付けた被せ物です。
金属を使用していますが、保険適用の金属とは異なり貴金属を使用しているため、金属アレルギーを引き起こす可能性は軽減されています。
強度もあり、見た目も良いため、奥歯の被せ物にはおすすめです。
<メタルボンドの特徴>
- 貴金属を使用
- 金属アレルギーを引き起こす可能性は軽減
- 強度がある
- 天然歯に近い見た目

入れ歯
総入れ歯 - 金属床
保険適用の総入れ歯は、すべてプラスチックで作製されています。
金属床は、義歯床(歯を敷き詰める部分)を金属で作製しているため、プラスチックより薄くすることができます。
そのため、装着している時の違和感が少なく、話しやすい入れ歯です。
また、温度を感じやすくなるため、火傷の危険性も軽減されます。
<金属床の特徴>
- プラスチックより薄い
- 装着している時の違和感が少なく、話しやすい
- 火傷の危険性も軽減

総入れ歯 - 痛みを軽減した入れ歯、コンフォート
部分入れ歯 - バネのない入れ歯、ノンクラスプデンチャー
ノンクラスプデンチャーとは、クラスプ(部分入れ歯を固定するためのバネ)がない入れ歯です。
素材は柔らかく、曲げたりしても割れることはありません。
また、金具のバネを使わないため、装着時の痛みや、周りの歯への悪影響もありません。
色は歯ぐきと同じピンク色なので、装着していても目立ちません。
残存歯の状態によっては、適用できない場合がありますので、ご希望の方はお気軽にご相談ください。
<ノンクラスプデンチャーの特徴>
- 曲げたりしても割れない
- 装着時の痛みや、周りの歯への悪影響がない
- 装着していても目立たない
- 適用できない場合がある

















